Seorang wanita Amerika Syarikat bingung apabila dia boleh berturut dalam loghat asing meskipun dia tiada kaitan dengan negara itu malah tidak pernah pula ke sana.

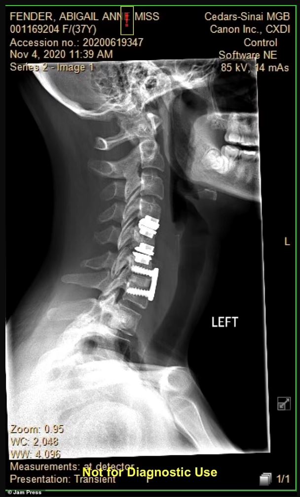
Abby Fender berdepan situasi aneh ini seminggu selepas dia menjalani pembedahan bagi membetulkan herniated disc.
Advertisement
Selepas pembedahan, Abby didapati mampu bertutur dalam loghat Ukraine, Rusia dan Australia dan tidak lagi bercakap bahasa Inggeris dalam loghat asalnya iaitu Texas.

Abby mula bercakap dalam loghat Rusia yang pekat tanpa sebarang kaitan dengan negara itu atau tidak pernah pula ke sana.
Disahkan menghidap sindrom loghat asing (FAS), Abby, 39, berdepan keadaan yang hanya berlaku satu dalam 100 kes di seluruh dunia.

"Saya takut tidak dapat bercakap secara normal lagi.
"Apabila tersedar daripada pembedahan, serta-merta tahu ada sesuatu yang tidak kena dengan suara kerana saya tidak boleh bercakap lantang.
"Saya kemudian mula merasakan nada suara saya sangat tinggi dan kami memanggilnya suara Minnie Mouse Rusia di mana saya berbunyi seperti watak kartun sepanjang masa," katanya kepada NeedToKnow.online.
Tambah Abby, beliau terpaksa berbohong mengenai asal usulnya bagi mengelakkan sebarang pertanyaan kerana loghatnya bertukar kepada loghat Ukraine dan Australia.
Disebabkan masalah itu, Abby terpaksa mendapatkan rawatan pakar dan menjalani terapi sejak Januari 2021.
Sumber: Detik Health