Wabak penyakit Legionnaires (LEE-juh-nares) telah dikesan berlaku di Lembah Coachella, selatan California dekat Amerika Syarikat yang mana telah menyebabkan dua maut manakala 14 lagi dimasukkan ke hospital.

Ekoran itu, Jabatan Kesihatan Awam Riverside County kini sedang menyiasat tentang beberapa kes penyakit Legionnaires ini yang dilaporkan berlaku antara musim luruh 2021 hingga awal tahun 2022.
Advertisement
"Punca penyakit berkenaan dan tahap penularan belum diperincikan," demikian menurut kenyataan rasmi jabatan tersebut.

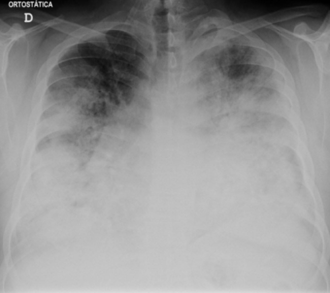
Penyakit Legionnaires merupakan pneumonia tahap serius yang disebabkan bakteria Legionella. Mereka yang menghirup udara yang mengandungi titis air atau secara tidak sengaja menelan air yang dicemari Legionella boleh jatuh sakit. Bagaimanapun, penyakit itu boleh dirawat dengan antibiotik dan tidak menjangkiti dari manusia ke manusia lain.
Antara simptom wabak ini adalah pneumonia, gangguan respiratori, demam, seram sejuk, batuk, pendek nafas, sakit otot dan sakit kepala.

Kebanyakan mereka yang sihat tidak akan sakit selepas mereka terdedah kepada Legionella. Namun, mereka yang berusia lebih 50 tahun dengan faktor risiko seperti perokok atau bekas perokok, sistem imun yang lemah, atau penyakit paru-paru kronik, dinasihatkan berwaspada.
Sumber: [1]