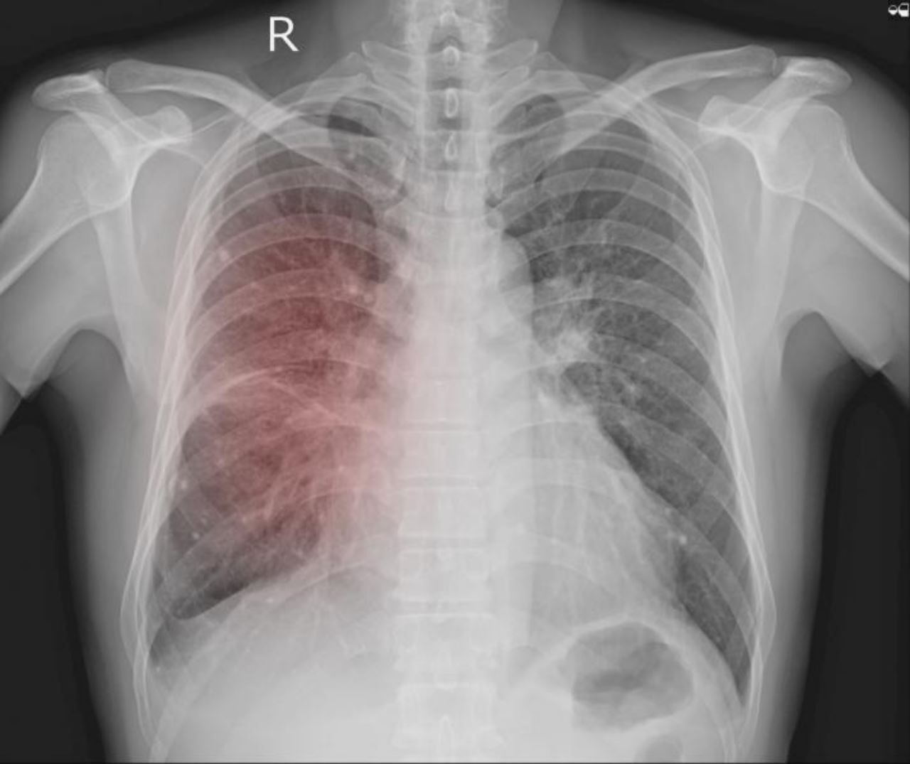
Tiga daripada sembilan individu yang dijangkiti pneumonia atau radang paru-paru misteri dilaporkan meninggal dunia awal bulan ini di Argentina.

Jangkitan misteri itu dilaporkan tertumpu pada sekitar klinik perubatan swasta dekat wilayah barat laut Tucuman.
Advertisement
Pihak berkuasa bagaimanapun tidak menolak kemungkinan ia berpunca daripada COVID-19 dan selesema biasa, namun mereka tetap meneruskan pemeriksaan jangkitan lain.
Ujian dilakukan pada bekalan air tempatan dan penyaman udara bagi mencari punca kes berkenaan.
Mangsa ketiga yang meninggal dunia adalah seorang wanita berusia 70 tahun yang dimasukkan ke klinik itu untuk pembedahan. Beliau juga tidak pernah dijangkiti sebarang penyakit pernafasan sebelum ini.
Rata-rata pesakit yang dijangkiti radang paru-paru misteri itu adalah kakitangan perubatan di pusat terbabit.
Menurut BBC, enam pesakit pertama mula menunjukkan gejala antara 18 dan 23 Ogos. Gejala yang ditunjukkan adalah seperti demam panas, sakit badan dan kesukaran bernafas. Keadaan ini menurut Menteri Kesihatannya adalah sangat serupa dengan COVID-19.
Sumber: HM